For in vitro diagnostic use.
ihcDirectĀ® Calponin is a polymerized horseradish peroxidase (pHRP) labeled anti-calponin antibody (Clone C126) intended for laboratory use to qualitatively identify by light microscopy the presence of calponin in contractile smooth muscle and myoepithelial cells in sections of formalin-fixed, paraffin-embedded (FFPE) tissue or frozen tissue sections using immunohistochemistry (IHC) test method. The clinical interpretation of any staining or its absence should be complemented by morphological studies using proper controls and should be evaluated within the context of the patientās clinical history and other diagnostic tests and proper controls interpreted by a qualified pathologist and/or physician. This conjugate has been pre-diluted and optimized for IHC use without further dilution.
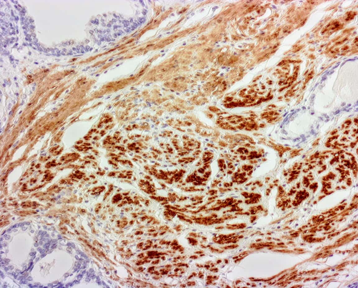
Summary and Explanation:
ihcDirectĀ® Calponin Kit (Clone C126) immunohistochemistry (IHC) reagent is for use on frozen and formalin-fixed-paraffin-embedded tissues. Antibody (Clone C126) reacts with calponin, which is a 34kD polypeptide that interacts with actin, tropomyosin, and calmodulin. Calponin is involved in smooth muscle contraction mechanisms and is expressed in smooth muscle tissue. It is also observed in myoepithelial cells. The calponin antibody may be used as a marker of the differentiated contractile phenotype of developing smooth muscle and to help differentiate benign sclerosing lesions of the breast from carcinoma. The ihc Blocker provided in the kit used prior to applying pHRP Calponin conjugate can reduce background and nonspecific staining. Chromogen 3,3ādiaminobenzidine (DAB) is used in this kit.











