For in vitro diagnostic use.
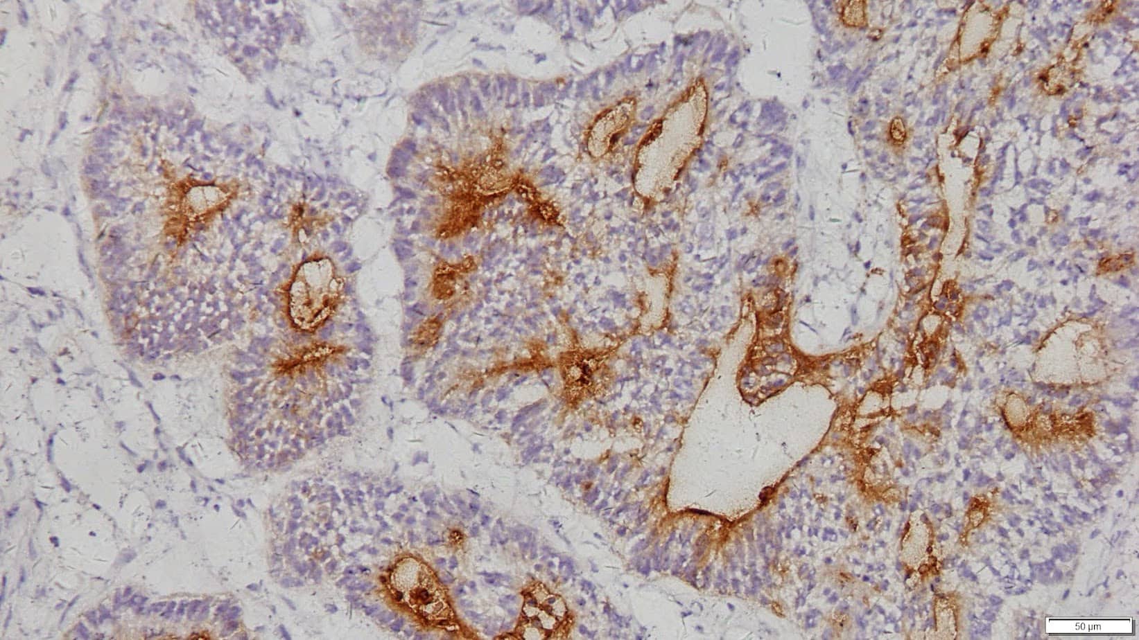
Anti-Carcino Embryonic Antigen (CEA) is a polymerized horseradish peroxidase (pHRP) labeled CEA (C135) antibody that reacts with CEA and CEA-like proteins. CEA (Anti-Carcino Embryonic Antigen), also known as CD66e, is intended for laboratory use to qualitatively identify by light microscopy the presence of CEA which is often detected in glycocalyx of fetal epithelial cells and may play a role in the metastasis of cancer cells. CEA is usually considered an epithelial marker with strong staining in adenocarcinomas. CEA has been used to distinguish adenocarcinoma (lung) vs. epithelioid mesothelioma with a 97% specific for lung adenocarcinoma, negative for mesothelioma. A high level of CEA may be suggestive of malignant breast cancer, not benign breast disease in FNA fluid.
Both the 5ml and 10ml Anti-Carcino Embryonic Antigen products are configured with the ready-to-use antibody only. Blocker, DAB, and wash buffer are not included in this product.








