HAYWARD, CA—Novodiax, a pioneering developer of rapid immunoassays, today announced the launch of the new ihc Magenta 1:1 chromogen for immunohistochemistry (IHC) testing. This product is intended for use with horseradish peroxidase (HRP) based IHC and other immunoassays, where it produces a striking reddish-purple color at the site of antibody-antigen interaction.
“With the introduction of this new easy-to-prepare chromogen, we are excited to offer customers greater flexibility in personalizing their testing procedures to best suit their specific needs,” remarked Novodiax CEO Jianfu Wang, PhD. “It will also help solve a number of challenges that are inherent in existing IHC chromogen products.”
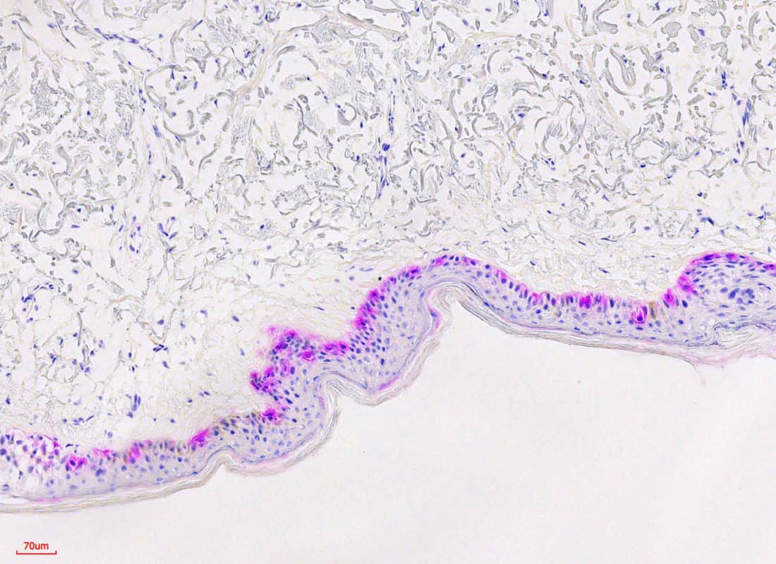
The chromogen DAB is a very popular chromogen for IHC. However, it produces a brown color at the site of protein localization, which can be difficult to differentiate from endogenous brown pigments in the body (such as melanin, found in skin, and hemosiderin, sometimes found in the lungs, liver, and kidney). The new ihc Magenta 1:1 chromogen can provide clearer results that are easier to interpret.
Other benefits of the ihc Magenta 1:1 product include its ease of preparation and stability. ihc Magenta 1:1 consists of two ready-to-use liquid reagents and is prepared by mixing equal parts of the ihc Magenta Chromogen and ihc Magenta Diluent. Upon mixing, the ihc Magenta 1:1 chromogen working solution remains stable for up to seven days. This level of ease and flexibility is critical for labs that may perform less frequent testing yet still need to remain cost effective and efficient.
Thanks to a proprietary chemistry, ihc Magenta 1:1 stains can withstand dehydration and clearing with alcohol and xylene, so they are compatible with both aqueous and organic mounting media. Users can rest assured that they will have a lasting permanent record for years.
The ihc Magenta 1:1 product is now available in the United States as a general purpose reagent (GPR) and is being prepared for introduction to other countries soon.
About Novodiax
Novodiax is dedicated to advancing cancer and autoimmunity diagnostics through innovative rapid immunoassays. Their revolutionary ihcDirect® assays are listed for in vitro diagnostic (IVD) use, and they provide sensitive immunohistochemistry (IHC) results in as little as 10 minutes on frozen tissue while also offering workflow benefits and savings of 20-60 minutes on formalin-fixed, paraffin-embedded (FFPE) tissues.
For Inquiries, Please Contact:
Novodiax, Inc.
3517 Breakwater Ave
Hayward, CA 94545, USA
Email: sales@novodiax.com
Phone: +1 (888) 439-2716
Phone: +1 (510) 342-3043


